In 1988 zijn we bij Mediagon begonnen met onze ecologische waterbehandeling. Na het ontwikkelen van de technologie hebben we deze direct laten testen en certificeren door de TÜV in Duitsland Dit betrof een keuring en certificering van de technologie en werking. Er werd specifiek getest op het voorkomen van harde kalkaanslag.
Een resultatenonderzoek van het water hebben wij apart laten analyseren door het analyse laboratorium Hagalis in Duitsland. Hagalis staat bekend om laboratorium onderzoeken en kwaliteitsmanagement. Ook heeft de organisatie twee boeken uitgebracht, te weten: ‘Apparaten voor waterrevitalisering’ en ‘Waterkristallen werelden’.
Het volledige Duitse onderzoeksrapport is onderstaand te lezen. De belangrijkste bevinden van het onderzoek zijn naar het Nederlands vertaald en tevens onderstaand weergegeven.



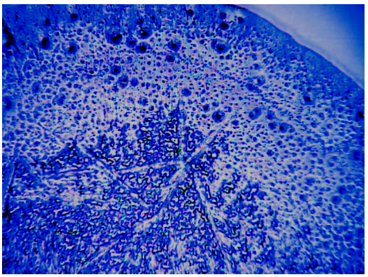
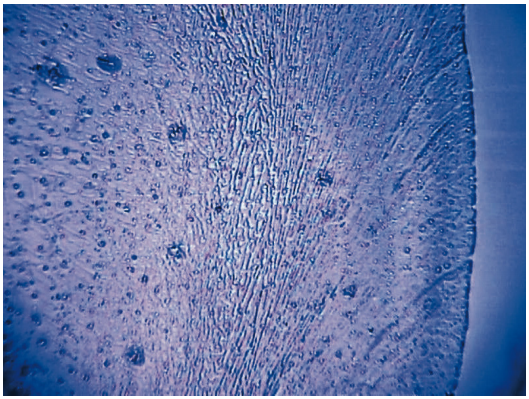
Gevitaliseerd, energierijk kraanwater. Gekristalliseerd met de Mediagon-technologie. 40 tot 400 keer vergroot.
Het originele onderzoeksrapport uit 2002 is onderstaand te lezen.
Er is onderzoek gedaan met twee steekproeven. Onbehandeld leidingwater en leidingwater behandeld door Mediagon, beide afkomstig uit de Duitse gemeente Herdwangen-Schönach. Het onderzoek richtte zich op de mineralisatie van leidingwater.
Het onderzoek heeft een zeer grote kwaliteitssprong aangetoond. Kwaliteitssprongen van deze aard zijn bij onderzoekslaboratorium Hagalis zelden voorgekomen. Vergelijkende tests gaan uit van een sterke, positieve effectiviteit van het waterbehandelingssysteem.
Wilt u meer te weten komen over de eigenschappen van water behandeld door Mediagon? Dan kunt hier terecht.